親知らずとは
親知らず(おやしらず)とは、大臼歯(大人の奥歯)の中で最も後ろに位置する歯であり、第三大臼歯が正式な名称で、智歯(ちし)とも呼ばれています。親知らずは中切歯(最前方の前歯)から数えて8番目にあり(図1)、永久歯(大人の歯)の中で最後に発育します。永久歯は通常15歳前後で生え揃いますが、親知らずは生える時期が概ね10代後半から20代前半であり、親に知られることなく生えてくる歯であることがその名前の由来だとも言われています。
ヒトの進化と親知らず
親知らずは一般的には、上あごの左右2本と下あごの左右2本の計4本ありますが、もともと親知らずの無い人や、必ずしも4本が揃っていない人など個人差があります。親知らずの生えてくる場所が不足している、あるいは萌出方向(生える方向)が通常と異なるために、埋伏(埋まった状態)していたり、傾いてきちんと生えてこないことがしばしばみられます(図2〜5)。
親知らずの埋伏や先天性欠損(発育段階から形成されずに歯が存在しないこと)は人類の進化の一過程という考えがあります。しかしこれは現代になって生じた現象ではなく、クロマニヨン人においても既に発現していて、親知らずの埋伏や欠損は弥生時代からすでに珍しくない現象であったようです 。現代人になって急激に親知らずの先天性欠損や、親知らずが生えてこないことが増えたという感覚を持つ人が多いようですが、現代人において全ての親知らずが生える頻度が増加し、親知らずの先天性欠損が減少したという調査結果もあります 。親知らずの埋伏や欠損は悠久の時の流れの中での傾向であり、近年になって爆発的に増えたわけではないのです。
![]() |
![]() |


親知らずの病気
親知らずは歯肉に部分的に被ったままになることにより不潔になりやすく、歯肉の炎症を起こしやすい状態となってしまいます。これを智歯周囲炎(ちししゅういえん)と呼び、20歳前後の人に発生する頻度の高い疾患です。智歯周囲炎が周囲の軟組織や顎骨(がっこつ:あごの骨)に広がると顔が腫れたり、口が開きにくくなったりすることがあります。この智歯周囲炎になった場合は、抗菌薬(化膿どめ)や消炎鎮痛薬(痛み止め)の投与、さらにはうがい薬などを併用して炎症を鎮めた後、歯肉弁切除(被った歯肉を切除)を行い、様子を見るといった場合もあります。しかし、親知らずの生える方向が悪かったり、炎症をくり返しているような場合は、抜歯することが適当と考えられます。
親知らずの抜歯は正常に生えている場合には、普通の歯を抜くのと同様に比較的簡単に抜くことができます。しかし、親知らずの大部分が骨の中に埋まっていたり、歯の根っこの形が複雑だったりすると、歯肉を切開したり、骨や歯を削ったりするため抜歯するのにもかなりの注意と手間が必要となります(図6)。なお、親知らずの状態や患者さんに持病があったりする場合、入院や全身麻酔下での管理が必要となる場合もあります。

埋伏した親知らずの歯の周りにエックス写真で袋のような影が確認される場合があり、このような状態の病気を嚢胞と言います。(図7)嚢胞は一般に無症状に経過しますが、感染(化膿すること)による痛みや病変の拡大に伴う顎骨の腫脹(腫れ)を生じることもあります。基本的には良性の病変ですが、腫瘍との鑑別診断が必要であり、病変の一部を切除するか、親知らずとともに全摘出した上で、病理検査を行うことをお勧めします。

親知らずは全て抜いたほうが良いのか?
親知らずは適正に生えないことが多く、不要なので抜いてしまうというのはいささか乱暴な話です。親知らずだから全て抜くというのではなく、正常に生えて機能している場合や、手前の奥歯などが抜けてしまってない場合などはその部分を補うためのブリッジや入れ歯の土台に利用できるため、残しておいた方が良いこともあります。
親知らずを抜くというのは決して気軽な行為ではなく、処置によりその後に腫れや痛みなどの不快な症状が生じたり、また少なからずリスクを伴います。そして歯を抜くという行為は取り返しがつかないので、抜くメリットとデメリットについて歯科医師と十分に相談されてから決断するべきです。
以下に、親知らずを抜いた方がよい、抜くべきではない、あるいは様子を見てあらためて考えた方がよい場合の目安をお話いたします。
抜いた方がよい場合
| 1. | 親知らず自体あるいは手前の歯もむし歯になってしまった:親知らずは一番奥の歯なので治療器具が届きにくく、その後の手入れも困難です。また、治療ができたとしても再びむし歯になる可能性があり、親知らずがむし歯になったらあえて治療をせずに抜いてしまった方がよい場合があります。また、手前の第二大臼歯もむし歯になってしまった場合は、すみやかに親知らずを抜いて第二大臼歯のむし歯を処置する必要があります。長期にわたって放置すると第二大臼歯までも悪くなりすぎて抜くことになる恐れもあります。 |
|---|---|
| 2. | 横向きに埋まっていて前方の歯に障害を及ぼしている:親知らずが横向きに埋まっていると智歯周囲炎や手前の第二大臼歯の吸収(歯の根が溶かされるように浸食されること)を引き起こすので、親知らずを抜くことが多いです。しかし、手前の第二大臼歯の吸収が進みすぎると注意が必要です。写真(図8-A)の親知らずは生える場所がないうえに方向が悪いので普通なら抜くところですが、CT(図8-B)では親知らずの手前にある第二大臼歯の根に大きな吸収が認められます。この第二大臼歯はあまりにも吸収が進んでしまったので長期的には保存できないと判断しました。この状況で親知らずを抜くと手前の第二大臼歯が将来的に失われた際に奥歯のかみ合わせが不十分となるために、入れ歯やインプラント等の治療が必要になります。幸いCTにより予め状況を把握していたので、第二大臼歯を抜いた後に部分的な矯正治療にて親知らずを正しい方向に移動して良好なかみ合わせを維持しました。ところで反対側の第二大臼歯を良く観察すると歯の根の一部に吸収した痕が見られます。(図8-C)奥にあった親知らずは何年も前に抜いたので手前の第二大臼歯へのダメージも少なかったのだと思われます。 |



| 3. |
いつも食べ物がつまる、歯肉の腫れ、痛みを繰り返している:親知らずが中途半端に生えていて、歯の一部だけが見えている場合は食べ物が詰まりやすく、不潔となり周囲の歯肉に炎症を起こしやすくなっているため、腫れや痛みを繰り返します(図9)。 |
|---|---|
| 4. | 骨の中に完全に埋まっているが、エックス写真で袋のような影がみられる:このような状態の病気を嚢胞と言い、病気の発育によりあごの中の神経を圧迫したり、膿の袋を作り、患部に痛みや腫れを生じます。 |
抜かなくてもよい場合
| 1. | 親知らずが上下できちんと生え、かみ合っている:写真(図10)のように親知らずが顎に直立して生え、お互いにかんでいる場合。 |
|---|---|
| 2. | 顎の骨の中に完全に埋まっていて問題が無い:写真(図11)は、親知らずが顎の骨の中に完全に埋まっている状態です。この親知らずは周りの歯や骨に悪い影響を与えることはないと考えられ、痛みや腫れなどの症状がなければ直ちに抜く必要はありません。 |
![]() |
![]() |
| 3. | 入れ歯やブリッジの土台として親知らずが必要:ある程度真直ぐ生えている親知らずは、前方にある第一大臼歯や第二大臼歯をなくした場合でも、削ってブリッジの土台に使ったり、入れ歯のバネをかけることができるため、残しておいた方が良いことがあります。 |
|---|---|
| 4. | 親知らずを移植する:親知らずより手前にある大臼歯などを抜かなければならなくなった場合、その部位に親知らずを移植し、再びかめる状態にできることがあります。ただし、移植の可否は移植する部位と親知らずの形や大きさ、患者さん自身の状態などを考慮し慎重に判断する必要があります。 |
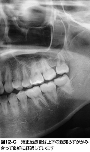
| 5. | 矯正治療で親知らずを正しい位置に動かすことができる:親知らずの生える方向が悪くても矯正治療によりきちんとかめるように治すことができます。写真は上顎の親知らずの生える方向が通常よりも前方に向いてしまったために手前の第二大臼歯に接触し、親知らずがこれ以上生えられない状態です。(図12-A)親知らずの生える場所が十分にあり、下顎にかみ合うべき親知らずも正常に生えているので、上顎の親知らずを矯正治療で移動させました。(図12-B)矯正治療後は上下の親知らずがかみ合って良好に経過しています。(図12-C)矯正治療は歯を動かす治療ですがどのような状況でも可能とは限りません。矯正治療で治せるかどうかは歯科医師に相談することをお勧めします。 |
|---|
![]() |
![]() |
おわりに
親知らずについてその概要を述べさせていただきました。これらはあくまでも一般的なお話なので、個々の方々については必ずしも当てはまらないこともあるかもしれません。親知らずについての疑問や問題を感じた方は、まずはかかりつけか最寄りの歯科医院、歯科医師に相談することをお勧め致します。
| i | 山田博之:日本人の智歯欠如率、その栄養学的な考察、人類学雑誌、101(5)515-516, 1993 |
|---|---|
| ii | 中原泉:ヒトの歯は退化しているか?第三大臼歯に関する疑問?. 歯学84(2)163-169, 1996. |
資料提供:日本歯科大学附属病院矯正歯科科長 小森成、口腔外科科長 荘司洋文
日本歯科大学附属病院 病院長 三代冬彦




いつも食べ物がつまる、歯肉の腫れ、痛みを繰り返している:親知らずが中途半端に生えていて、歯の一部だけが見えている場合は食べ物が詰まりやすく、不潔となり周囲の歯肉に炎症を起こしやすくなっているため、腫れや痛みを繰り返します

矯正治療で親知らずを正しい位置に動かすことができる:親知らずの生える方向が悪くても矯正治療によりきちんとかめるように治すことができます。写真は上顎の親知らずの生える方向が通常よりも前方に向いてしまったために手前の第二大臼歯に接触し、親知らずがこれ以上生えられない状態です。
